कक्ष

Simplifying In Vivo Macrophage Depletion: A Practical Guide with Clodronate Liposomes

Macrophage Depletion Made Simple: A Comprehensive FAQ on Clodronate Liposomes

Centrigel™ Matrix Gel| Angiogenesis Assays protocol

Clodronate Liposomes | Lesson 3: Lung Macrophages

Clodronate Liposomes | Lesson 1: Injection Methods and Administration Strategies

FAQs About DSS-Induced Colitis Modeling

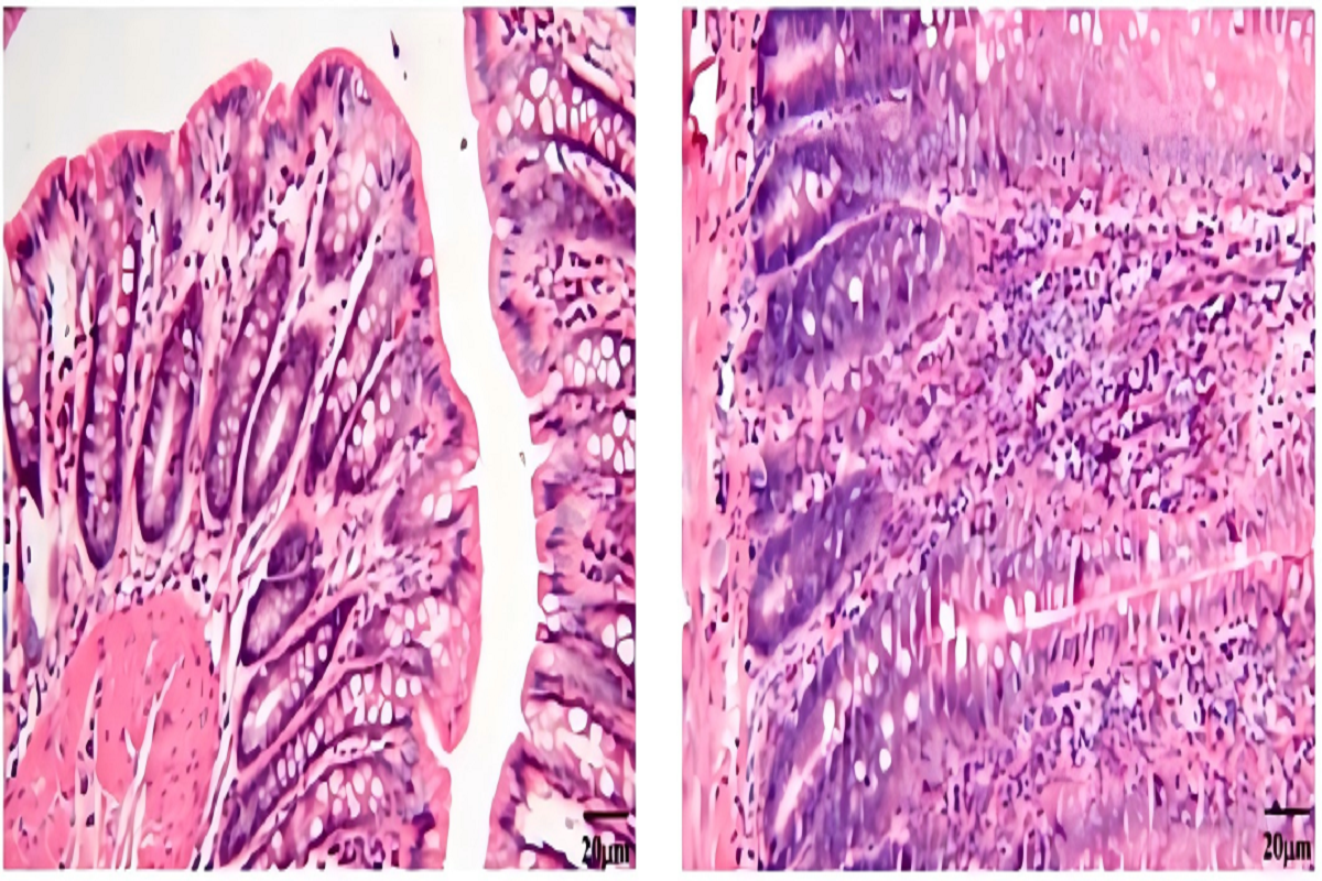
Building a Reliable Rat Model of Ulcerative Colitis Using DSS

Cell Transfection | Transfection of Primary Porcine Alveolar Macrophages(PAMs) – DNA

Cell Transfection | Transfection of Primary Glioblastoma Cells(GBMs) – siRNA

Cell Transfection | Transfection of Primary Porcine Skeletal Muscle Satellite Cells (PSCs/PMSCs) – DNA

Cell Transfection | Transfection of Primary Chicken Embryo Fibroblasts(CEFs) – DNA


