Cell

Cell Transfection | HeLa Human Cervical Cancer Cells Transfection – DNA

Cell Transfection | Jurkat Human T-Lymphoblastic Leukemia Cells Transfection – DNA

Clodronate Liposomes | Lesson 7: Peripheral Blood

Clodronate Liposomes | Lesson 6: Applications in C57BL/6 Mice

Simplifying In Vivo Macrophage Depletion: A Practical Guide with Clodronate Liposomes

Macrophage Depletion Made Simple: A Comprehensive FAQ on Clodronate Liposomes

Centrigel™ Matrix Gel| Angiogenesis Assays protocol

Clodronate Liposomes | Lesson 3: Lung Macrophages

Clodronate Liposomes | Lesson 1: Injection Methods and Administration Strategies

FAQs About DSS-Induced Colitis Modeling

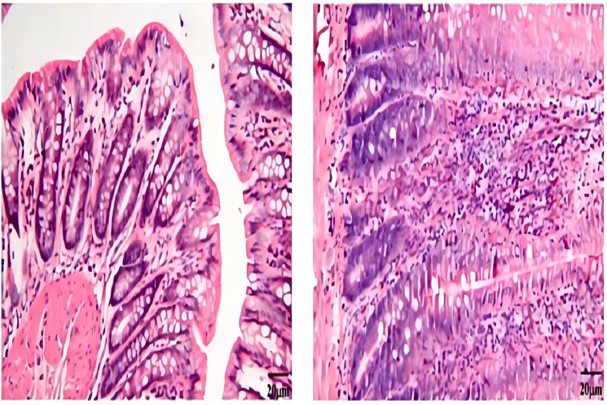
Ulcerative Colitis Rat Modeling using Dextran sodium sulfate (DSS)


